¿Es mejor la técnica MARPE? Al fin evidencias
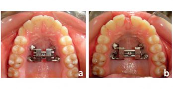
Los microimplantes han revolucionado la biomecánica ortodóntica. Pero esto no se limita a la misma, sino que se ha ampliado a la ortopedia. Los protocolos ortopédicos dentomaxilares y funcionales clásicos se han visto modificados por la colocación de microimplantes. Tal es el caso de la disyunción maxilar transversal (EPR) en donde el tornillo se ancla … Sigue leyendo ¿Es mejor la técnica MARPE? Al fin evidencias
Copia y pega esta URL en tu sitio WordPress para incrustarlo
Copia y pega este código en tu sitio para incrustarlo